
Τι είναι τα εμφυτεύματα ;
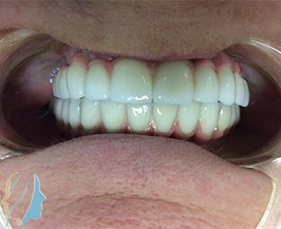
Tα οδοντικά εμφυτεύματα είναι οστεοενσωματούμενα ομοιώματα ριζών τα οποία τοποθετούνται στα οστά της γνάθου για να αντικαταστήσουν ελλείποντα δόντια. Χρησιμοποιούνται ως στηρίγματα της ακίνητης προσθετικής αποκατάστασης των δοντιών είτε άμεσα είτε μετά την πάροδο μικρού χρονικού διαστήματος από την τοποθέτησή τους ανάλογα με τις εκάστοτε συνθήκες και ενδείξεις.
Θεωρούνται η μετεξέλιξη της αποκατάστασης με γέφυρες ή οδοντοστοιχίες με βασικά πλεονεκτήματα την αποφυγή χρησιμοποίησης παρακείμενων δοντιών ως στηρίγματα καθώς και την διατήρηση του όγκου και της ποιότητας του οστού της γνάθου. Είναι γνωστό ότι το οστό της γνάθου ατροφεί κάτω από γέφυρες ή οδοντοστοιχίες σε περιοχές που λείπουν δόντια. Έτσι η τοποθέτηση εμφυτευμάτων διατηρεί τον όγκο και την πυκνότητα του οστού στις περιοχές αυτές διστηρώντας το αποτέλεσμα για πολλά χρόνια.
Τα εμφυτεύματα ως στηρίγματα οδοντοστοιχίας

Πολύ συχνά οι οδοντοστοιχίες χάνουν την σταθερότητα και τη συγκράτησή τους με αποτέλεσμα να «κουνιούνται ή να πέφτουν» κατά την συνηθισμένη καθημερινή τους χρήση. Τα εμφυτεύματα μπορούν να προσφέρουν σίγουρη και μόνιμη λύση στο πρόβλημα αυτό λειτουργώντας ως ακίνητα συγκρατητικά στοιχεία.
Έτσι επιτρέπουν είτε το σταθερό βίδωμα, είτε το «κούμπωμα» και «ξεκούμπωμα» της οδοντοστοιχίας πάνω στα εμφυτεύματα σύμφωνα με της καθημερινές ανάγκες του ασθενή. Ακόμη και η παλιά οδοντοστοιχία μπορεί να μετατραπεί με αυτό τον τρόπο σε ακίνητη αποκατάσταση όπου ο ασθενής αποκτά την δυνατότητα να λειτουργεί κανονικά σχεδόν σαν να έχει και πάλι τα φυσικά του δόντια.
Προχωρημένη - σύνθετη εμφυτευματολογία
Συχνά η τοποθέτηση των εμφυτευμάτων επιβάλλεται να συνδυαστεί με επιπλέον χειρουργικές παρεμβάσεις στο οστό των γνάθων προκειμένου να επιτευχθεί το μέγιστο λειτουργικό και αισθητικό αποτέλεσμα. Αυτές είναι:
-Η ανύψωση του ιγμορείου άντρου.
-Η οστική μεταμόσχευση.
-Η μεταμόσχευση συνδετικού ιστού.
Έχουν θέση τα εμφυτεύματα στην αισθητική αποκατάσταση του προσώπου;
Ασφαλώς, το όμορφο χαμόγελο χαρακτηρίζει ένα όμορφο πρόσωπο. Η απώλεια δοντιών και η σταδιακή ατροφία του οστού των γνάθων οδηγεί σε γηρασμένο προσωπείο. Η διατήρηση του όγκου των οστών που είναι το υπόστρωμα του δέρματος διατηρεί το πρόσωπο νεανικό για περισσότερα χρόνια. Η ταυτόχρονη βελτίωση των άλλων στοιχείων του προσώπου με ενέσιμα υλικά όπως Botox, ενέσεις κολλαγόνου, υαλουρονικού οξέος ή χειρουργικές μεθόδους όπως βλεφαροπλαστική, ρινοπλαστική ή face lift οδηγούν σε άριστα αποτελέσματα.
Τι πρέπει να προσέξουμε πριν τοποθετηθούν εμφυτεύματα;



